Transformamos vidas, una sonrisa a la vez
En Colombia Smile Design, somos especialistas en estética dental de calidad, con más de 8 años de experiencia ayudando a nuestros pacientes a lucir su mejor versión con confianza.
Nuestra sede principal está en Cali, Colombia, donde combinamos técnicas avanzadas con un enfoque personalizado en diseño de sonrisa. También estamos presentes en España (Alicante, Málaga, Barcelona, Valencia y Madrid) y en Florida, Estados Unidos, brindando atención a pacientes de todo el mundo.






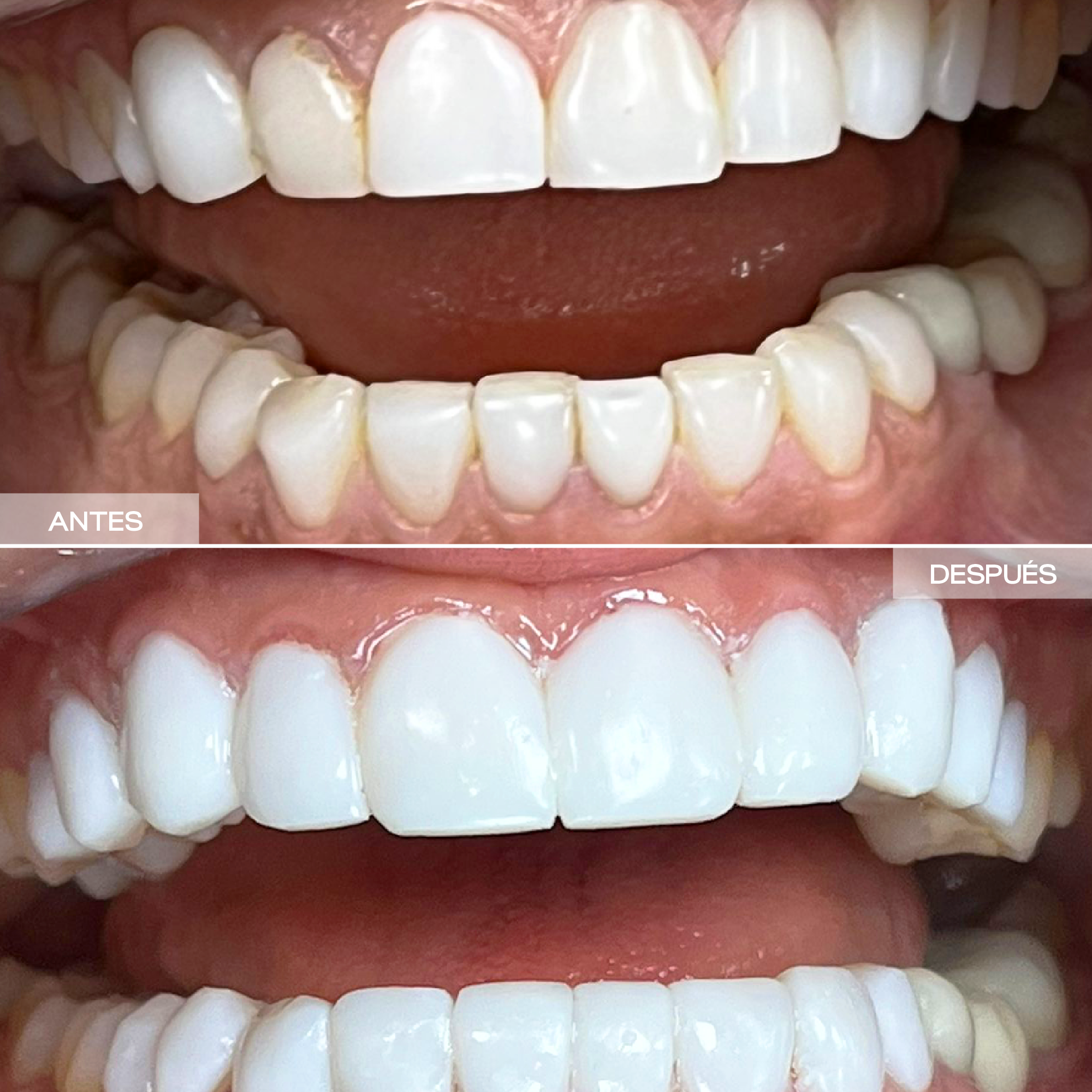
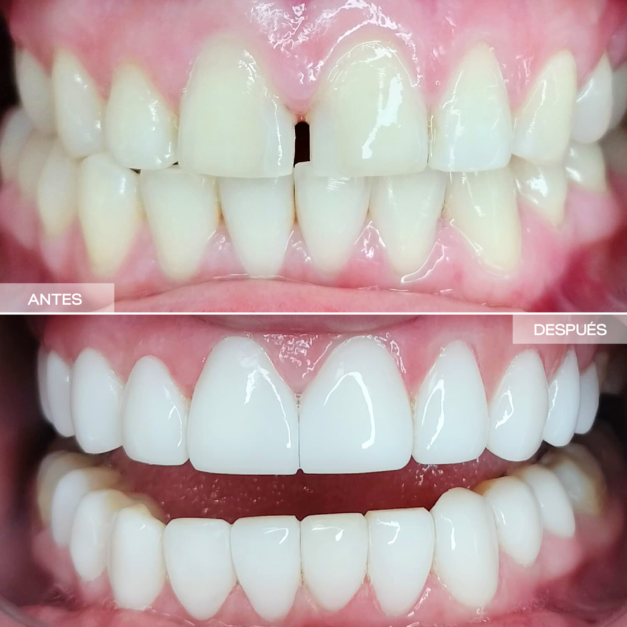
Transforma tu Sonrisa en solo 4 Horas
Con un procedimiento diseñado para tu confort y materiales de calidad con micropartículas de porcelana, nuestros diseños en resina ofrecen resultados duraderos de hasta 5 años, para que sonrías con seguridad y confianza.
Cada sonrisa que creamos está diseñada para resaltar lo mejor de ti
Porque con nosotros
Una solución estética avanzada que combina durabilidad y un acabado natural similar al esmalte dental, ideal para restauraciones y diseños de sonrisa.
Ofrecemos respaldo a nuestro trabajo con una garantía que cubre: por 30 días hasta 3 fracturas o caída total de carillas en composite y 3 meses por cambio de tono en el color del diseño, nuestro composite con micropartículas de porcelana tiene una durabilidad en boca de hasta 5 años manteniendo su color y brillo.
Logra una sonrisa renovada en una sola sesión, respetando al máximo la estructura natural de tus dientes.
Procedimientos cuidadosamente diseñados para garantizar tu confort y tranquilidad, sin molestias innecesarias.
Cada sonrisa que creamos está diseñada para resaltar lo mejor de ti
TESTIMONIOS
RESEÑAS
EXCELENTE A base de 28 reseñas Jose Luis Burillo Alarcon2025-09-15Trustindex verifica que la fuente original de la reseña sea Google. Me hice un diseño de sonrisa con esta clínica y me quedó perfecta, la recomiendo 100 × 100 son No muy profesionales y eficaces. Sonia Ballester2025-09-04Trustindex verifica que la fuente original de la reseña sea Google. Estoy feliz con mi nuevo diseño de sonrisa, ha sido una experiencia increíble. Me siento más segura, más contenta y no dejo de sonreír. ¡Mil gracias por hacerlo posible! Nayelis Mora Socorro2025-08-19Trustindex verifica que la fuente original de la reseña sea Google. Increíble la clínica sin duda la mejor , la atención espectacular, es un cambio increíble sin duda alguna recomiendo las clínica a tod@s Vanesa Carmona2025-08-05Trustindex verifica que la fuente original de la reseña sea Google. Exelente atención. El local perfecto y unos especialistas de 1ra ARMANDO PEREZ2025-07-10Trustindex verifica que la fuente original de la reseña sea Google. Todo excelente , servicio y trato , la doctora maira super recomendable , sigo y seguiré recomendado la clínica Stephany Montoya2025-07-10Trustindex verifica que la fuente original de la reseña sea Google. Los súper recomiendo la atención es espectacular son súper perfeccionistas todo perfecto !! Ana María2025-07-10Trustindex verifica que la fuente original de la reseña sea Google. Si pudiera poner 10 estrellas las pondría !!! Trato inmejorable !!!! Por parte de la administración y de la médico! Por nombrar a Valentina y a Maira 💜 que siempre están dispuestas a atenderte con una sonrisa de oreja a oreja... Díseño de sonrisa de 10 !!! Cada vez que me surge algo siempre están atentas 💜💜💜 Simpatía, eficacia y muy buen trabajo!!! Lo recomiendo 100% Santiago Melia2025-06-26Trustindex verifica que la fuente original de la reseña sea Google. Visité Alicante Colombia Smile para colocarme carillas de composite y quedé encantado con todo el proceso: la doctora Mayra me atendió sin esperas y, en una sola sesión —sin anestesia molesta ni tallado agresivo—, salí con todas las carillas perfectamente pulidas y ajustadas. Trato cercano, instalaciones modernas y precios transparentes: volveré sin duda y la recomiendo.
